
Dr. Jared Little, DDS, MSD
8 years in orthodontics
2,000+ patients treated

Treat more aligner cases with less work
Take on more complex bite cases with fewer refinements and less work, all while staying fully in control of your patient relationship.
Treat more aligner cases with less work
Take on more complex bite cases with fewer refinements and less work, all while staying fully in control of your patient relationship.
Dr. Jared Little, DDS, MSD
8 years in orthodontics
2,000+ patients treated

“I believe orthodontic care should be built around how your teeth function, not just how they look. With Two Front, I design plans focused on protecting your bite for the long run.”
Dr. Jared Little, DDS, MSD
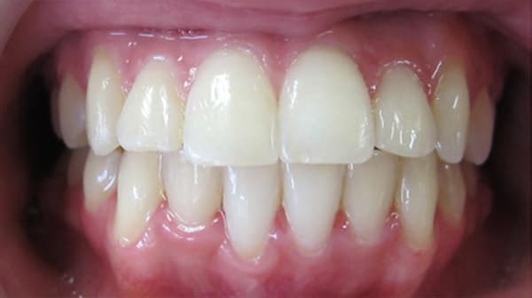
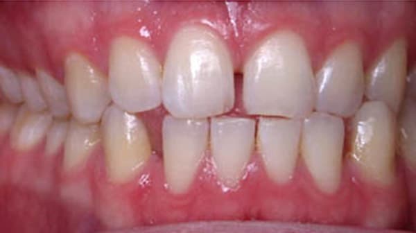
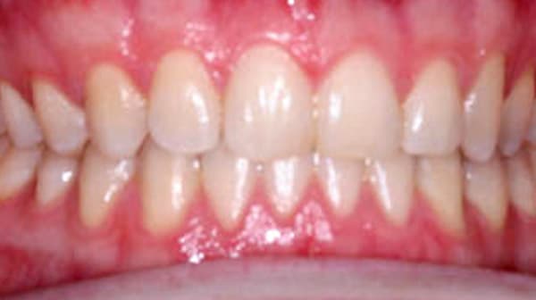
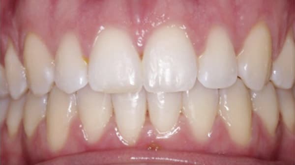
Results
Every case is designed for a stable bite, balanced function, and teeth that last — along with a beautiful smile.
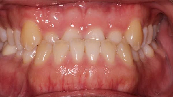
Before
After
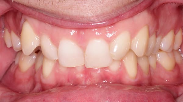
Before
After
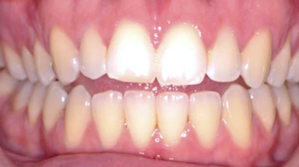
Before
After
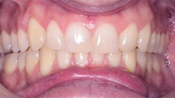
Before
After
Before
After
Before
After
Before
After
Before
After
Before
After
Before
AfterThe numbers behind the care

Top 1% of U.S. Orthodontists
Clear Aligner Biomechanics Specialist
1,000+ Cases Completed
≤2 Refinements Per Treatment
Approved by Two Front Clinical Board
Top 1%
Fewer office visits. Virtual weekly check-ins and concierge support replace most in-person appointments.
90%
Every Two Front orthodontist has designed over 1,000 clear aligner treatment plans.
1000+

30,000+
Smiles designed for
StabilityFunctionLong-Term Oral HealthHow your care works
Your dentist and your orthodontist work together through Two Front — so you get results with clear aligners that are as precise as braces, without leaving the practice you already trust.
01
Your dentist

Scans your teeth during a routine visit. Delivers your aligners. Sees you for progress scans. Guides your care from start to finish.
02
Your orthodontist
Reviews your scan. Designs every movement in your treatment plan. Monitors your progress remotely throughout treatment.
03
Your concierge team

Guides you through your diagnosis and options from home, tracks your weekly aligner scans to ensure progress, and is available by chat six days a week.
01
Your dentist

Scans your teeth during a routine visit. Delivers your aligners. Sees you for progress scans. Guides your care from start to finish.
02
Your orthodontist
Reviews your scan. Designs every movement in your treatment plan. Monitors your progress remotely throughout treatment.
03
Your concierge team

Guides you through your diagnosis and options from home, tracks your weekly aligner scans to ensure progress, and is available by chat six days a week.